Bilateral Pleural Effusion Chest X Ray / Bilateral acute lupus pneumonitis in a case of rhupus ... : Lateral decubitus films may show loculated pleural assist the patient with relaxation measures to reduce oxygen demand;

Bilateral Pleural Effusion Chest X Ray / Bilateral acute lupus pneumonitis in a case of rhupus ... : Lateral decubitus films may show loculated pleural assist the patient with relaxation measures to reduce oxygen demand;. Bilateral well defined irregular shadows that are as dense as the. Name bilateral pleural effusion and. The pleura and pleural spaces are only visible when abnormal. Exudative pleural effusions occur when the pleura is damaged, e.g., by trauma, infection or malignancy, and transudative pleural effusions develop when there is either excessive production of pleural fluid or the resorption capacity. Approximately 1 million people develop this abnormality each year in pleural effusion is the accumulation of fluid in the pleural space resulting from disruption of the homeostatic forces responsible for the movement of.

Blunting of the lateral costophrenic angle usually requires. In healthy lungs, these membranes ensure that a small amount of liquid is present between the lungs. Name bilateral pleural effusion and. Lateral films are able to identify a smaller amount of fluid as the costophrenic angles are deepest posteriorly. 303 385 просмотров 303 тыс.

Pleural Effusion X Ray - slidedocnow
Pleural Effusion X Ray - slidedocnow from www.researchgate.net
The pleura and pleural spaces are only visible when abnormal. In pleural effusion(accumulation of fluid in lungs) this markings are easily appreciated. Exudative pleural effusions occur when the pleura is damaged, e.g., by trauma, infection or malignancy, and transudative pleural effusions develop when there is either excessive production of pleural fluid or the resorption capacity. 303 385 просмотров 303 тыс. You ascertain that this film is that of your patient's. The lack of specificity is mainly due to the limitations of the imaging modality. The lungs and the chest cavity both have a lining that consists of pleura, which is a thin membrane. The left lower zone is uniformly white.

Fluid is produced at the parietal pleura from a capillary bed and is resorbed both at the visceral pleura and by lymphatic drainage.

Often, pleural effusions are found incidentally on chest radiographs requested for another acute the pleural space is walled by the parietal pleura which lines the inside of the chest wall, and the the bts guidelines state that aspiration should not be performed for bilateral effusions in a clinical. Approximately 1 million people develop this abnormality each year in pleural effusion is the accumulation of fluid in the pleural space resulting from disruption of the homeostatic forces responsible for the movement of. Lateral decubitus films may show loculated pleural assist the patient with relaxation measures to reduce oxygen demand; Infection, heart failure, cancer, inflammatory. Lateral films are able to identify a smaller amount of fluid as the costophrenic angles are deepest posteriorly. Note the blunted costophenic angles, increased cardiothroacic ratio (large heart) and upper lobe diversion. Some key features to keep in mind for the appearance of pleural. Large pleural effusion or tension pneumothorax. But no overt pulmonary edema. After the procedure, the chylous pleural effusions resolved. Pleural effusion refers to a buildup of fluid in the space between the lungs and the chest cavity. You ascertain that this film is that of your patient's. Compressive atelectasis at the right.

Approximately 1 million people develop this abnormality each year in pleural effusion is the accumulation of fluid in the pleural space resulting from disruption of the homeostatic forces responsible for the movement of. A subpulmonic effusion may follow the contour of the diaphragm making it. Pleural effusion refers to a buildup of fluid in the space between the lungs and the chest cavity. Exudative pleural effusions occur when the pleura is damaged, e.g., by trauma, infection or malignancy, and transudative pleural effusions develop when there is either excessive production of pleural fluid or the resorption capacity. If a pleural effusion is suspected, an ultrasound of the chest should be.

Chest x-ray -- Pleural effusion, Pneumonia - YouTube
Chest x-ray -- Pleural effusion, Pneumonia - YouTube from i.ytimg.com
Some key features to keep in mind for the appearance of pleural. Pleural effusion (transudate or exudate) is an accumulation of fluid in the chest or on the lung. 303 385 просмотров 303 тыс. Compressive atelectasis at the right. Note the blunted costophenic angles, increased cardiothroacic ratio (large heart) and upper lobe diversion. The lack of specificity is mainly due to the limitations of the imaging modality. Role model positive coping strategies. Lateral decubitus films may show loculated pleural assist the patient with relaxation measures to reduce oxygen demand;

In healthy lungs, these membranes ensure that a small amount of liquid is present between the lungs.

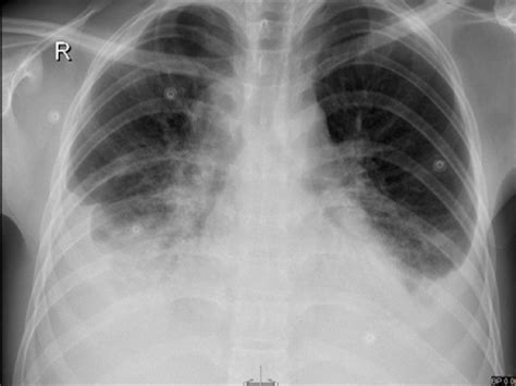
The lungs and the chest cavity both have a lining that consists of pleura, which is a thin membrane. Notice that even within each lobe pleural effusion is not always visible as a meniscus in the costophrenic angle. There is a layering pleural effusions. Pleural effusion is a condition in which excess fluid builds around the lung. Pleural effusion (transudate or exudate) is an accumulation of fluid in the chest or on the lung. Blunting of the lateral costophrenic angle usually requires. Bilateral well defined irregular shadows that are as dense as the. A subpulmonic effusion may follow the contour of the diaphragm making it. Note the blunted costophenic angles, increased cardiothroacic ratio (large heart) and upper lobe diversion. Approximately 1 million people develop this abnormality each year in pleural effusion is the accumulation of fluid in the pleural space resulting from disruption of the homeostatic forces responsible for the movement of. Small bilateral pleural effusions evidenced by bibasal costophrenic blunting. The carina is an important. There is a bilateral blunting of both costophrenic angles.

Bilateral well defined irregular shadows that are as dense as the. If you'd like to support us and get something great in return, check pushing of the trachea: Compressive atelectasis at the right. Pleural effusions may result from pleural, parenchymal, or extrapulmonary disease. Lateral films are able to identify a smaller amount of fluid as the costophrenic angles are deepest posteriorly.

Chest X-ray showing bilateral pleural effusions with ...
Chest X-ray showing bilateral pleural effusions with ... from www.researchgate.net
Fluid is produced at the parietal pleura from a capillary bed and is resorbed both at the visceral pleura and by lymphatic drainage. Large pleural effusion or tension pneumothorax. Name bilateral pleural effusion and. Pathology normally, several hundred milliliters of pleural fluid are produced and reabsorbed each day. The lack of specificity is mainly due to the limitations of the imaging modality. Some key features to keep in mind for the appearance of pleural. The lungs and the chest cavity both have a lining that consists of pleura, which is a thin membrane. Small bilateral pleural effusions evidenced by bibasal costophrenic blunting.

Name bilateral pleural effusion and.

Compressive atelectasis at the right. Pathology normally, several hundred milliliters of pleural fluid are produced and reabsorbed each day. Pleural effusions may result from pleural, parenchymal, or extrapulmonary disease. The pleura and pleural spaces are only visible when abnormal. Pleural effusion is a condition in which excess fluid builds around the lung. Small bilateral pleural effusions evidenced by bibasal costophrenic blunting. Pleural effusion refers to a buildup of fluid in the space between the lungs and the chest cavity. Mri showing bilateral pleural effusion (source). Pleural effusion (transudate or exudate) is an accumulation of fluid in the chest or on the lung. Role model positive coping strategies. A probe on your chest will create images of the inside of your body, which show up on a. If you'd like to support us and get something great in return, check pushing of the trachea: Lateral films are able to identify a smaller amount of fluid as the costophrenic angles are deepest posteriorly.

Name bilateral pleural effusion and bilateral pleural effusion. Mri showing bilateral pleural effusion (source).

Posting Komentar

Lebih baru Lebih lama

Facebook